Для всех от студента и до квалифицированного специалиста
На курсе каждый получит для себя ценную информацию и закроет нюансы.
Программа
9:30-10:00
Сбор участников
10:00-11:30
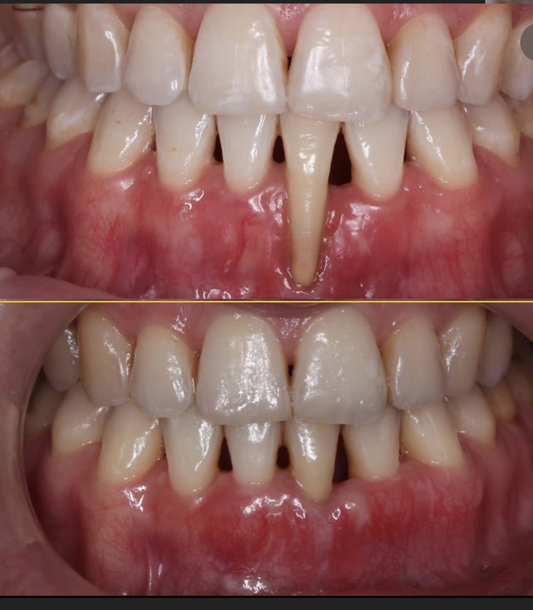
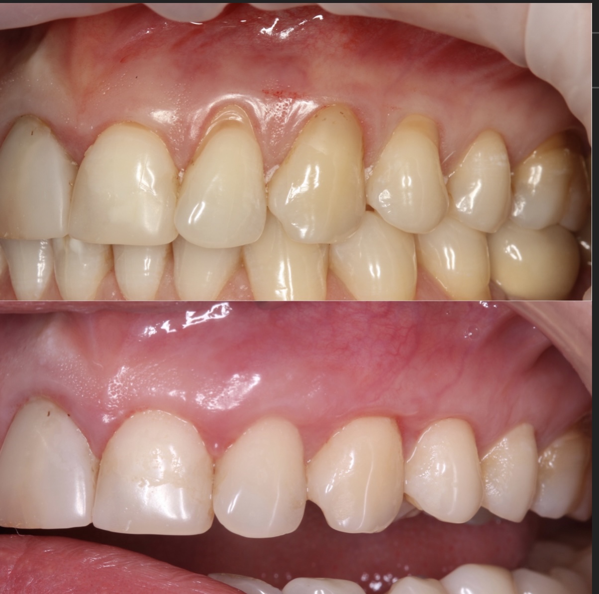
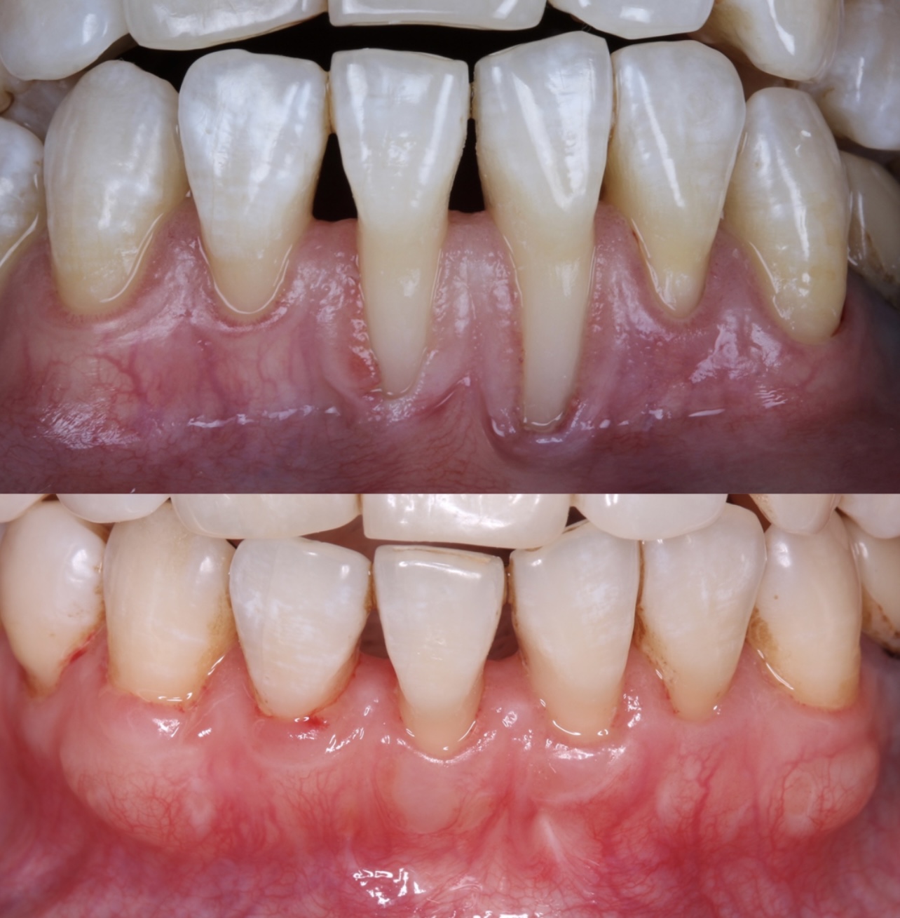
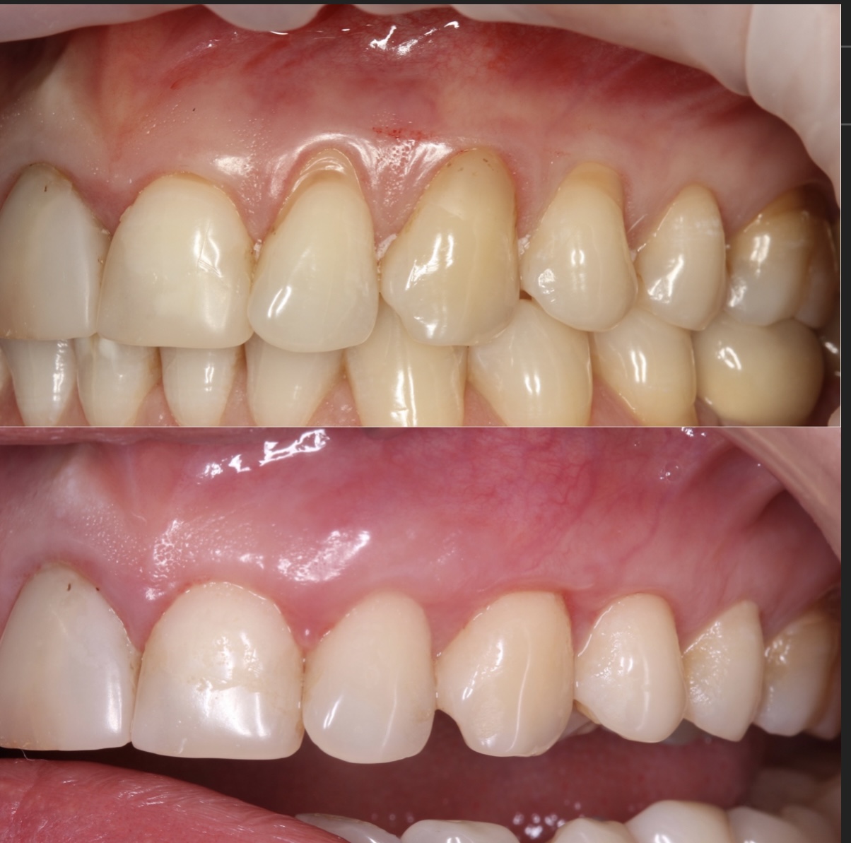
Рецессии. Анатомия. Диагностика. Этиология. Патогенез. Показания к операции по устранению рецессий десны. Методы хирургических манипуляций.
11:30-12:00
кофе-брейк
12:00-13:30
Прогноз. Пришеечные кариозные и некариозные поражения, сочетающиеся с рецессиями десны. Реставрационная подготовка. Соединительно-тканные трансплантаты и методики их забора.
Туннельная методика закрытия рецессий. Послеоперационное ведение пациентов. Лекарственные средства и гигиена полости рта. Инструментарий. Осложнения.
9:30-10:00
Сбор курсантов
10:00-14:00
ПРАКТИКА. ПЕРВАЯ ГРУППА
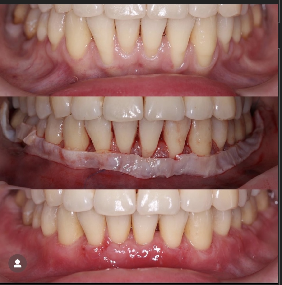
Забор свободного десневого трансплантата.
Углубление преддверия полости рта с помощью свободного десневого трансплантата.
Методика коронарно-смещенного лоскута
Туннельная методика
15:00-19:00
ПРАКТИКА. ВТОРАЯ ГРУППА
Забор свободного десневого трансплантата.
Углубление преддверия полости рта с помощью свободного десневого трансплантата.
Методика коронарно-смещенного лоскута
Туннельная методика
Отзывы
Десятки довольных профессионалов о нас
Посетил курс по закрытию рецессий, организованный OralSurgery Team вместе с Дмитрием Баймурзиным и Анастасией Смоляковой. Получил невероятное удовольствие и кучу полезной информации! Спасибо большое за классную организацию и приятную атмосферу!
Давид Амирян
Кавычки
Самое главное в деятельности врача — не стоять на одном месте и постоянно совершенствоваться. И именно благодаря таким командам, как OralSurgery Team этот процесс становится максимально комфортным. А благодаря таким специалистам, как Дмитрий Баймурзин и Анастасия Смолякова мы узнаем что-то новое, а главное получаем огромный заряд мотивации для дальнейшего роста в качестве специалистов. Большое спасибо за 3 великолепных и познавательных дня!
Диана Мирзоян
Кавычки
1−3 октября. Санкт-Петербург. Точка отчета, точка эволюции-мероприятие, посвящённое обучению по устранению рецессии десны. Гигабайты видео, сотни слайдов презентации, километры нервных клеток и годы опыта работы двух лекторов. 2 живые операции. Эмоции в прямом эфире и концентрация внимания на практике. Спасибо всем, кто прожил это со мной. Спасибо OralSurgery Team за организацию площадки и поддержку, за шикарные условия, где мы могли показать все, что можем. Спасибо всем, кто пришёл, увидел, вдохновился, научился и делает теперь жизнь своих пациентов качественнее.
Используйте кнопку "Записаться в лист ожидания". Мы предложим Вам место сразу, как снимется бронь с одного из мест. Если же все места будут заняты, то мы пригласим Вас на следующие даты семинара.
Место проведения
отель введенский
г. Санкт-Петербург, м. Петроградская, Большой проспект ПС, 37