эстетическая стоматология, дентальная имплантация, специализируется на тотальных реабилитациях в цифровом протоколе
Для кого этот курс?
Для всех от студента и до квалифицированного специалиста
На курсе каждый получит для себя ценную информацию и закроет нюансы.
Программа
9:30-10:00
Сбор курсантов
10:00-11:30
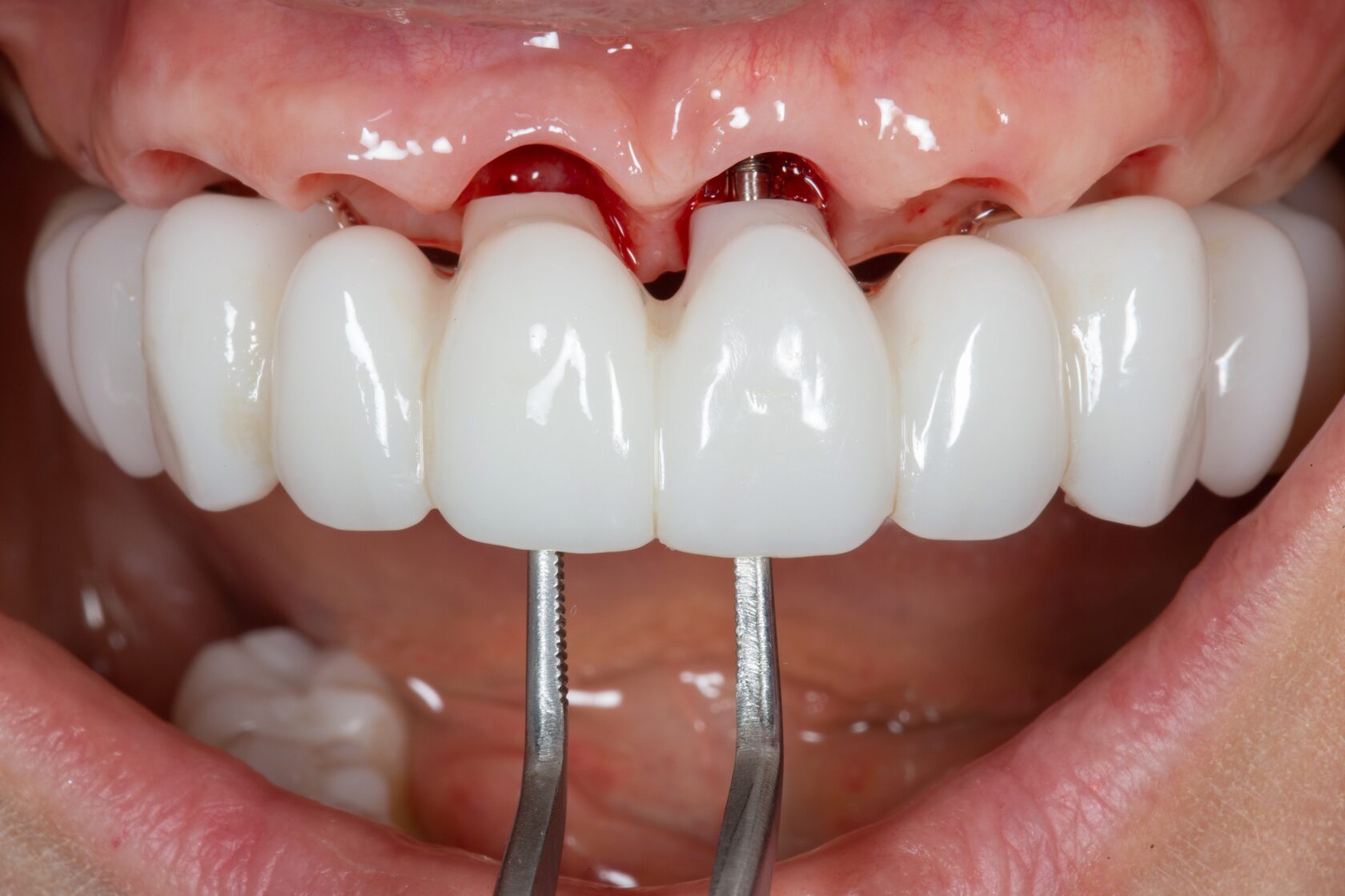
Знакомство с концепцией FP1. Предимплантационная подготовка. Фотопротокол, Fasescan -metismile техника сведения сканов, Wax-up. Коммуникация с Guide Centre, знакомство с JD-igital Gude. Разбор автовторских шаблонов Stackable & Hybrid Guide, изготовление печатного заживляющего моста/гайда – Healing bridge.
11:30-12:00
кофе-брейк
12:00-13:30
Седация - авторский подход Dziuba Implant Studio Разбор авторских методик Full Guided: - patzi protocol -titled implants -Anterior transinus -Posterior crestal transinus( PAGA concept) -Palatinal approach
13:30-14:30
Обед
14:30-16:00
Одномоментная пластика парадонта в области имплантатов и мостовидных промежутков, CAF technic & nailing technic, Palatinal incision. Техники презервации лунок - Pet technic, socket preservation c применением tooht transformer graft. Костная пластика B2S. Контурная пластика - HBR technic Особенности моделировки второго комплекта пластика
16:00-16:30
кофе-брейк
16:30-18:00
Особенности моделировки третьего (функционального) комплекта временных коронок-коррекция десневого зенита, формирование профиля прорезывания. Пластика парадонта и сосочков – VISTA доступ. CAF technic с гайдом для забора СДТ. Эстетическое осложнение в области имплантатов, пути решения
Этап планирования
Работа с фейсканером, сведение сканов, отцифровка оттисков, digital Centric tray, опорный штифт по Герберу в цифре - определение цс.
Хирургия на модели, операция all on 4 - палатинальная постановка имплантатов при выраженной атрофии, трансинусальная постановка - цифровой протокол, техника палатинального разреза, работа с мягкими тканями, техника сканирования с применением авторских палатинальных винтов и сведения сканов.
Фотограммометрия pic dental, tupel 3d (сканирование), граммометрия - truss system, проработка дизайна временной работы под Fp1 - хирургическая коррекция - второй этап работы с мягкими тканями !
Каждый участник отрабатывает своими руками: - Работа в протоколе FP1 при полной адентии. - Протокол работы с пневматезированной пазухой. - Фиксация специального маркера на небо в цифровом протоколе. - Тактика разреза. - Формирование границы разреза. - Создание вертикального разреза. - Отслаивание слизистой. - Палатинальная постановка имплантатов free hands в зоне 15,25,22,12 зубов. - Создание доступа под trans sinus. - Работа с кардинальной костью специальными фрезами g-dental. - Установка имплантатов под углом 45 градусов. - Установка мультиюнитов, колпачков для вклейки. - Подшитие лоскута. - Вклейка балки. - Создание контурной редукции для формирования биологической ширины по временному мосту. - Фиксация моста к мультиюнитам. - Правильное позиционирование лоскута (Double cross по Отто Цуру). - Использование Belt шва - это по Ронко. - Имитация забора лоскута с неба для восполнения недостающего объема. - Формирование правильного ушивания по FP1
10:00-11:30
1.Первичный фотопротокол 1)Внеротовой 2) Внутриротовой 3) Скан лица
3.Фотограмметрия/грамметрия, виды сканмаркеров 4.Передача информации технику, заполнение нарядов 5.Подгрузка данных в экзокад/wax up 6.Проверка wax up ортопедом и хирургом 7.Планирование шаблона 8.Документальная подготовка перед операцией 9. Первый этап операции. Установка arch tracer. Сканирование текущей ситуации с arch tracer/шаблоном 10. Операция. Удаление зубов, установка имплантатов, направленная редукция с использованием шаблона в виде заживляющего моста, установка мю, варианты сканирования: 1)PicDental 2) Tupel 3D 3) Shining Elite/3d 4) One top
11:30-12:00
кофе-брейк
12:00-13:30
11.Установка заживляющего моста и мобилизация сосочков к нему
12. Примерка постановки из dental send/фотопротокол, коррекция по прикусу, сканирование интраоральными сканерами
13. Снятие швов, сдача ППМА с нагрузкой в 10 ед
14. Проверка затяжки мю, осмотр на предмет мягкотканной пластики
15. Повторный фотопротокол, сканы, подлитки, подготовка к аксиографии, направление на КТ
16. Аксиография. Сбор данных, анализ, варианты работы с высотой прикуса и ВНЧС
17.Каппа или примерка постановки из Dental Sand 18. Второй комплект пмма. Формирование десневого контура за счёт овоидов
19. Циркон
13:30-14:30
Обед
14:30-18:00
ПРАКТИЧЕСКАЯ ЧАСТЬ - Михаил дзюба
лекционная ЧАСТЬ - андрей ступников - ОРТОПЕД
Видео как проходит курс
Отзывы
Десятки довольных профессионалов о нас
Посетил курс по закрытию рецессий, организованный OralSurgery Team вместе с Дмитрием Баймурзиным и Анастасией Смоляковой. Получил невероятное удовольствие и кучу полезной информации! Спасибо большое за классную организацию и приятную атмосферу!
Давид Амирян
Кавычки
Самое главное в деятельности врача — не стоять на одном месте и постоянно совершенствоваться. И именно благодаря таким командам, как OralSurgery Team этот процесс становится максимально комфортным. А благодаря таким специалистам, как Дмитрий Баймурзин и Анастасия Смолякова мы узнаем что-то новое, а главное получаем огромный заряд мотивации для дальнейшего роста в качестве специалистов. Большое спасибо за 3 великолепных и познавательных дня!
Диана Мирзоян
Кавычки
1−3 октября. Санкт-Петербург. Точка отчета, точка эволюции-мероприятие, посвящённое обучению по устранению рецессии десны. Гигабайты видео, сотни слайдов презентации, километры нервных клеток и годы опыта работы двух лекторов. 2 живые операции. Эмоции в прямом эфире и концентрация внимания на практике. Спасибо всем, кто прожил это со мной. Спасибо OralSurgery Team за организацию площадки и поддержку, за шикарные условия, где мы могли показать все, что можем. Спасибо всем, кто пришёл, увидел, вдохновился, научился и делает теперь жизнь своих пациентов качественнее.
Анастасия Смолякова
Стоимость
До начала мероприятия осталось:
ДН
ЧАС
МИН
СЕК
31 мая-1 июня (1.5 дня теории) - 40.000 31 мая-1 июня (1.5 дня теории + практика) - 80.000
-20%
студентам
Цифровые протоколы немедленной нагрузки с умеренной степенью атрофии
Используйте кнопку "Записаться в лист ожидания". Мы предложим Вам место сразу, как снимется бронь с одного из мест. Если же все места будут заняты, то мы пригласим Вас на следующие даты семинара.
Место проведения
отель введенский
г. Санкт-Петербург, м. Петроградская, Большой проспект ПС, 37