Восстановление функции и эстетики у пациентов с частичным и полным отсутствием зубов
и ортопедический этапы
ГАМИД НАСУЕВ
Что ждет тебя на курсе?
Фотоотчет
Рабочие протоколы
Фирменные блокноты и ручки
Атмосфера
Спикер мероприятия
Гамид Насуев
Специальность:
Город:
Специализация:
врач - стоматолог-ортопед
Москва
эстетическая и функциональная стоматология
Главный врач клиники «SOGO Clinic» (Москва)
В 2006 г. окончил Саратовский государственный медицинский университет 2006–2008 гг. – ординатор кафедры стоматологии общей практики РМАПО 2008–2010 гг. – ординатор кафедры госпитальной ортопедической стоматологии МГМСУ 2010–2013 гг. – аспирант кафедры госпитальной ортопедической стоматологии МГМСУ Научный редактор издательского дома «Азбука стоматолога» и издательства «Квинтэссенция».
Член Евразийской ассоциации эстетической стоматологии
2006 г. – окончил Дагестанскую государственную медицинскую академию
2007 г. – окончил клиническую интернатуру
2009 г. – прошел клиническую ординатуру на базе отдела клинической и экспериментальной имплантологии ЦНИИС и ЧЛХ (руководитель – академик РАН, профессор Кулаков А.А.)
2009–2013 гг. – очная аспирантура на базе отдела клинической и экспериментальной имплантологии ЦНИИС и ЧЛХ (руководитель – академик РАН, профессор Кулаков А.А.)
Регулярно выступает с докладами на стоматологических конференциях, в том числе на международных симпозиумах ITI 2018 и Оsteology 2020.
Для кого этот курс?
Для всех, от студента и до квалифицированного специалиста
На курсе каждый получит для себя ценную информацию и закроет нюансы.
Программа
Пластика рецессий зубов как до, так и после фиксации ортопедических реставраций. Как выбрать методику пластики, и важные нюансы для получения стабильного долгосрочного результата.
Анализ осложнений пластики рецессий и как их избежать.
Планирование ортопедической конструкции при частичном и полном отсутствии зубов: · Изготовление временной конструкции на период хирургической подготовки · Хирургические этапы подготовки мягких тканей и кости · Изготовление временной конструкции с опорой на имплантаты · Возможные варианты хирургических шаблонов для протетического позиционирования имплантатов · Изготовление постоянных конструкций
Тайминг курса
ХИРУРГИЧЕСКАЯ ЧАСТЬ. Лектор — Арслан Амиров.
9:30-10:00
Сбор курсантов
10:00-11:30
В хирургической части курса будет подробный разбор всех хирургических манипуляций для подготовки пациента к ортопедической реабилитации:
· Методы вертикальной и горизонтальной аугментации костной ткани, их преимущества и недостатки. А также протокол выбора метода в зависимости от клинической ситуации.
11:30-12:00
кофе-брейк
12:00-13:30
Методы увеличения объема мягких тканей у имплантатов и создание зоны прикрепленной керанитизированной десны, как до протезирования, так и у функционирующих имплантатов. Анализ отдаленных результатов.
Хирургическое удлинение коронковой части зуба
13:30-14:30
Обед
14:30-16:00
16:00-16:30
кофе-брейк
16:30-18:00
Имплантация по шаблонам- за или против? варианты хирургических шаблонов.
· методы сохранения объема альвеолярного гребя после удаления зубов.
9:30-10:00
Сбор курсантов
10:00-11:30
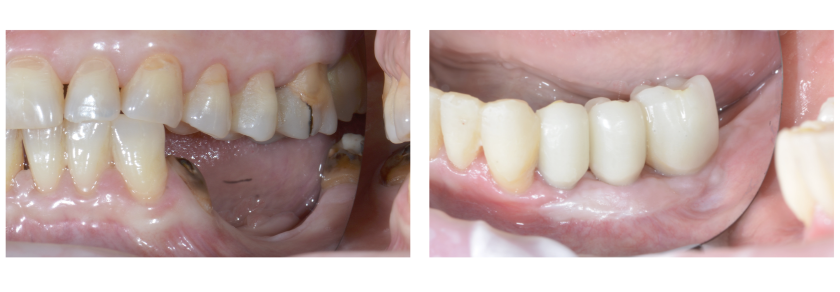
Протезирование с опорой на зубы и имплантаты в дистальных отделах челюстей. Обследование пациента, сбор данных. Фотодокументация. Получение диагностических оттисков, фиксация моделей в артикулятор. Фиксация соотношения челюстей для диагностики и протезирования. Требования к восковому моделированию и изготовление временных композитных реставраций длительного ношения. Планирование имплантологического лечения при включенных и концевых дефектах, выбор количества имплантатов, дизайна окончательных реставраций и типа их фиксации. Изготовление временных реставраций прямым и непрямым методами.
ОРТОПЕДИЧЕСКАЯ ЧАСТЬ Лектор — Гамид Насуев
Передний отдел верхней челюсти Оценка эстетических и функциональных рисков, которые могут привести к неудаче лечения. Ортодонтическая подготовка пациентов перед протезированием. Моделирование поддесневой части абатмента. Восстановление структуры зуба перед протезированием. Подготовка мягких тканей перед протезированием. Выбор материала для реставрации с опорой на зубы и имплантаты. Особенности препарирования зубов рядом с имплантатами.
11:30-12:00
кофе-брейк
12:00-13:30
Формирование контура десны в области зубов и имплантатов. Получение оттисков зубов и имплантатов открытой и закрытой ложками. Варианты подготовки мягких тканей для получения точного оттиска, выбор оттискного материала. Индивидуализация оттискного трансфера. Изоляция рабочего поля, подготовка реставраций, супраструктур и зубов к фиксации. Список необходимых инструментов для фиксации. Окклюзионная коррекция реставраций и способы ее минимизировать.
13:30-14:30
Обед
14:30-16:00
16:00-16:30
кофе-брейк
16:30-18:00
Протезирование пациентов при полном отсутствии зубов. Виды ортопедических конструкций при полной адентии. Важные аспекты протезирования пациентов с полным отсутствием зубов. Способы изготовления диагностических и хирургических шаблонов (накостных, назубных и шаблонов под полный протокол). Выбор количества и определение положения имплантатов, в зависимости от дизайна планируемой конструкции. Временные протезы с опорой на имплантаты. Регистрация центрального соотношения при отсутствии зубов. Определение позиции режущего края центрального резца с учетом эстетических и функциональных параметров. Проверка дикции, фонетические тесты. Перекрестное гипсование моделей в артикуляторе и запись индивидуального резцового столика.
Отзывы
Десятки довольных профессионалов о нас
Посетил курс по закрытию рецессий, организованный OralSurgery Team вместе с Дмитрием Баймурзиным и Анастасией Смоляковой. Получил невероятное удовольствие и кучу полезной информации! Спасибо большое за классную организацию и приятную атмосферу!
Давид Амирян
Кавычки
Самое главное в деятельности врача — не стоять на одном месте и постоянно совершенствоваться. И именно благодаря таким командам, как OralSurgery Team этот процесс становится максимально комфортным. А благодаря таким специалистам, как Дмитрий Баймурзин и Анастасия Смолякова мы узнаем что-то новое, а главное получаем огромный заряд мотивации для дальнейшего роста в качестве специалистов. Большое спасибо за 3 великолепных и познавательных дня!
Диана Мирзоян
Кавычки
1−3 октября. Санкт-Петербург. Точка отчета, точка эволюции-мероприятие, посвящённое обучению по устранению рецессии десны. Гигабайты видео, сотни слайдов презентации, километры нервных клеток и годы опыта работы двух лекторов. 2 живые операции. Эмоции в прямом эфире и концентрация внимания на практике. Спасибо всем, кто прожил это со мной. Спасибо OralSurgery Team за организацию площадки и поддержку, за шикарные условия, где мы могли показать все, что можем. Спасибо всем, кто пришёл, увидел, вдохновился, научился и делает теперь жизнь своих пациентов качественнее.
Анастасия Смолякова
Стоимость
До начала мероприятия осталось:
ДН
ЧАС
МИН
СЕК
-20%
студентам
При регистрации и оплате до 01.10.24 после 55.000
Восстановление функции и эстетики у пациентов с частичным и полным отсутствием зубов.
Используйте кнопку "Записаться в лист ожидания". Мы предложим Вам место сразу, как снимется бронь с одного из мест. Если же все места будут заняты, то мы пригласим Вас на следующие даты семинара.